
On this day, 12 years ago, I left the hospital. It was a happy day. I spent 17 days in the hospital after having a ruptured brain aneurysm. According to the Brain Aneurysm Foundation, an estimated six million people (one in 50) in the U.S. have an unruptured brain aneurysm.
I was lucky and had a much better story which I shared here. Hence, I will be enjoying my glass of champagne tonight 🙂
Surviving

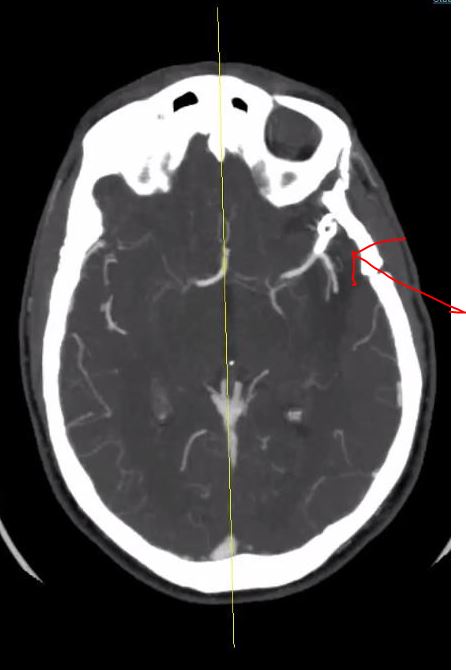
I had my latest scan and checkup this year. My titanium clip is still in place. My rupture has not leaked or expanded. and there are no obvious new formations or bulges detected. I do not have any restrictions and I can continue my travel goals and enjoying life day by day. Today is a day where I reflect and I am thankful that I can love another day and enjoy my passions and life that might have ended so quickly before.
Thank you
A continued thanks for the medical staff of Harborview hospital, University Of Washington and all my friends and family that were there for me when I needed it.
And a special thanks to Dr. Kim who saved my life. I hope many others will recognized and support his work in understanding what actually causes aneurysms and how they can determine which ones will burst.
What was I thankful for? Of course, I was thankful for the medical staff of Harborview hospital, University Of Washington and all my friends and family that were there for me when I needed it.
What is next?
This year, I have now visited 65 countries, and I am back on track to hitting my 100 country goal. The COVID pandemic has made it a little more challenging and I think it will continue to do so. Unfortunately, the COVID is not going away any time soon as so many people, governments and activists are not coordinating to try and get this solved across the world so this will make travel, gatherings and activities hard to achieve for a long time.
I am going to continue to get my vaccines so I do not die and I can continue to safely travel. I have been through more than one episode where a vaccine could not help me, so I am not going to make the mistake of missing an opportunity for science to help me avoid one in the future.
Stay tuned – the travels will continue!